Причины возникновения головного дискомфорта разнообразны. В большинстве случаев, они связаны с психоэмоциональными потрясениями, физическим переутомлением или стрессом.
Человеку достаточно принять таблетки, которые помогают устранить болевой синдром. После этого голова не болит.
Однако есть другие причины возникновения головной боли, связанные с прогрессированием различных патологий.
Если на 2-3 день у человека не проходят головные боли, есть высокая вероятность того, что он болен. В данном случае, ему не помогают обезболивающие лекарства.
Почему возникает боль, которую нельзя купировать медикаментами? Что необходимо делать для её устранения? Давайте разбираться.
Причины данного явления
Есть несколько видов головной боли, в лечении которой не помогают обезболивающие таблетки. Причины их возникновения связаны с внутренними недугами.
Обычно, дискомфортные ощущения при таких недугах сопровождают больного даже на 3 день. Итак, основные причины появления очень сильной головной боли:
- Тензионная боль.
- Мигрень.
- Кластерная боль.
- Похмелье.
- Рак мозга.
- Височный артериит.
- Внутричерепное кровотечение.
Если у человека возникает сильная головная боль, от которой даже на 2 день не помогают обезболивающие таблетки, высока вероятность того, что он страдает одним из этих недугов. Поговорим о каждом из них.
Тензионная боль
Тензионные причины возникновения головной боли самые распространённые. Сложность лечения такого дискомфорта состоит в том, что трудно диагностировать источник его появления.
В большинстве случаев, причины, по которым возникает тензионная боль, связаны с психоэмоциональными потрясениями.
В современном стремительном ритме жизни порой сложно сохранять многофункциональность.
При таком недуге человек испытывает сильнейший дискомфорт, преимущественно, в верхней части лба. Глазные яблоки и верхние лицевые мышцы во время тензионной головной боли сильно напрягаются.
Когда больной предпринимает попытку расслабить лицо, ему не становится лучше. Боль при этом очень сильная, иногда – пульсирующая. Попытки купировать её медикаментами не приносят результата.
Сколько длится такой дискомфорт? Обычно, он даёт о себе знать в обеденное время. Длится он около получаса. Если больной находится в состоянии стресса, его дискомфорт усиливается.
Что делать, если он не проходит на второй день? К сожалению, обезболивающие таблетки редко помогают устранить такого рода дискомфортные ощущения.
Поэтому принимать их, в данном случае, не эффективно. Чтобы помочь больному улучшить самочувствие, следует создать для него расслабляющую обстановку. Важно, чтобы его ничего не тревожило.
Человеку, страдающему данным заболеванием, рекомендуется принять лежачее положение и сделать холодный компресс. Комната, в которой он находится, должна быть хорошо проветрена.
Если головные тензионные боли не проходят на 3 день, больному нужно дать лёгкие обезболивающие таблетки, например Парацетамол или Анальгин.
Однако если процесс протекает в хронической форме, нет смысла в приёме этих лекарств, ведь он не облегчит состояние больного.
При хроническом протекании недуга, он должен пройти медицинское обследование. Врач определит причину возникновения дискомфортного ощущения, а также предложит способ его купирования.
Мигрень
Мигрень является одной из наиболее распространённых причин возникновения головной боли. Этому недугу подвержены, преимущественно, женщины.
Во время мигрени, у больного возникает головная пульсирующая боль. Она является причиной его страданий. Дискомфорт может локализоваться в висках, затылке, а также в области лба.
Мигрень часто сопровождается тошнотой, головокружением и галлюцинациями. В большинстве случаев, эти симптомы не проходят даже на третий день.
У человека, страдающего этим недугом, возникает светобоязнь. Он не может находиться в помещении, куда проникает солнечный свет.
Перед началом болевого приступа, многие люди, больные мигренью, видят различные аномалии, например, световые полосы. Также у них немеют конечности, и возникает чувство покалывания по всему телу.
Почему возникает такая болезнь? Причина появления мигрени в нарушении функционирования головного мозга.
Данное нарушение приводит к расширению кровеносных сосудов, это способствует возникновению аномальной электрической активности в мозге.
Многие внешние факторы провоцируют данный процесс. Например, у человека часто болит голова, если он слишком громко слушал музыку, дышал сигаретным дымом или длительное время находился в помещении, в котором неприятно пахло.
Что делать для того чтобы избавиться от мигрени? В первый день проявления симптоматики, больному следует дистанцироваться от раздражающего фактора.
Например, если у человека, который находится на шумном концерте, болит голова, ему следует покинуть данное мероприятие.
Можно ли вылечить мигрень анальгетиками? Нет, такие боли нельзя купировать с помощью анальгетиков. Лечат данную патологию триптанами.
Кластерная боль
Это довольно редкий вид головной боли. Его появление приносит больному настоящие страдания. Кластерный дискомфорт очень тяжело вынести. Большинство людей, страдающих данным недугом – мужчины.
Характерные признаки кластерной боли:
- Сильнейшая головная боль, которая локализуется, преимущественно, с правой стороны.
- Дискомфорт в области глаз.
- Насморк.
- Покраснение глаз. Этот признак объясняется повышенным количеством крови, приливающей к глазам.
- Отсутствие у больного возможности двигаться и разговаривать.
Многие люди во время кластерного болевого приступа начинают сильно кричать, не выдерживая мучений. Возникают такие головные боли, преимущественно, в одно и то же время. Длится такой приступ от 15 до 45 минут.
Что делать больному для облегчения состояния? К сожалению, данное заболевание трудно лечить. Человек, который им страдает, может выпить обезболивающие таблетки, например, анальгетики.
При кластерном дискомфорте такие препараты могут помочь только при эффекте плацебо.
Сколько длится приступ? Кластерная боль может продолжаться от 15 до 60 минут. Точные причины её возникновения не установлены. Несёт ли такой приступ опасность для человеческой жизни?
Да, такая опасность есть, ведь во время приступа, больной испытывает сильнейшие трудности с дыханием. Поэтому, если больного госпитализируют, ему надевают кислородную маску.
После этого лечащий врач назначает пациенту соответствующие обезболивающие средства.
Похмелье
Похмельным синдромом страдают люди, организм которых подвергся алкогольной интоксикации. Как это происходит? Когда человек пьёт спиртной напиток, в его желудок попадает токсин.
Обычно, токсины выводятся из организма спустя 3-5 часов. Однако если человек не соблюдает «культуру распития», может возникнуть интоксикация.
Алкогольная интоксикация влечёт за собой плохое самочувствие. У человека возникает головная сильная боль, тошнота, слабость, дрожь в руках и т. д.
Такой процесс сложно ликвидировать обычными таблетками. Даже средства народной медицины не всегда эффективно удаляют симптомы похмелья. Что же делать для улучшения самочувствия при похмельном синдроме?
Человеку необходимо спровоцировать рвоту. В большинстве случаев, тошнота сопровождается рвотными позывами, ведь организм стремится к экспорту болезнетворного токсина, осевшего в желудке.
Но если рвотных позывов нет, их необходимо спровоцировать. Для этого человеку рекомендуется пить большое количество воды.
Избыток жидкости в желудке способствует возникновению рвотных позывов. После рвоты, больному станет легче, исчезнет и головная боль.
Приступ мигрени при алкогольной интоксикации объясняется тем, что спиртные напитки способствуют обезвоживанию организма.
От дискомфорта, возникшего по причине похмельного синдрома, помогают некоторые жаропонижающие таблетки, например, Парацетамол.
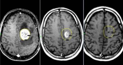
Рак мозга
При онкологическом заболевании мозга, у человека далеко не всегда болит голова. Но если такой симптом даёт о себе знать, болезнь протекает очень тяжело.
Головная боль, спровоцированная опухолью мозга, возникает по причине повышения внутричерепного давления. Чем быстрее растёт опухоль, тем сильнее повышается давление.
Возникает такой дискомфорт, преимущественно, утром. Практически всегда он сопровождается рвотой.
По мере прогрессирования заболевания, частота болевых приступов увеличивается, а дискомфорт становится сильнее.
Это приводит к тому, что больной быстро теряет вес, у него появляются судороги. При наличии симптомов рака мозга, следует незамедлительно обратиться к онкологу.
Если вовремя диагностировать заболевание, у больного есть все шансы на выздоровление. Однако если рак будет диагностирован на поздней стадии, шансы на успешное удаление злокачественной опухоли очень малы.
Внутричерепное кровотечение
Голова при внутричерепном кровотечении болит очень сильно. Возникает дискомфорт внезапно. Локализуется он, преимущественно, с правой стороны головы.
При таком кровотечении проявляются и другие симптомы:
- Тошнота.
- Нарушение координации.
- Ухудшение зрения.
- Затруднение речи.
Возникновение такой головной боли связано с травмированием сосудов головного мозга. Травма провоцирует кровоизлияние в мозг.
Это очень болезненный процесс, купировать его какими-либо медикаментами в домашних условиях нереально.
Стоит отметить, что дискомфорт при внутричерепном кровотечении, может проявиться спустя несколько часов после травмирования. Объясняется это тем, что стенки поврежденного сосуда истончаются не сразу.
Человек с внутричерепным кровотечением должен быть срочно госпитализирован даже в том случае, если у него не болит голова. Какую помощь ему окажут?
Во-первых, в больнице человеку удалят скопившуюся в черепе кровь. Это необходимо сделать в первую очередь, так как гематома будет способствовать давлению на головной мозг.
После этого врач станет выяснять причину кровоизлияния, для этого пациенту необходимо будет пройти соответствующее обследование.
Височный артериит
Возникновение головной бои при височном артериите отличается особой интенсивностью. Симптоматика височного артериита:
- Потеря аппетита. Вследствие этого больной резко теряет вес.
- Бессонница.
- Отсутствие сил, быстрая утомляемость.
- Депрессия, угнетённое психологическое состояние.
Голова при данном недуге болит настолько сильно, что человеку не помогают даже сильнейшие обезболивающие лекарства. Именно сильный дискомфорт способствует угнетённому психологическому состоянию больного.
Осложнением височного артериита может быть дискомфорт, возникающий в шее и в плечах. Какие факторы провоцируют возникновение этой болезни?
В большинстве случаев, височный артериит возникает вследствие инфицирования.
Также он может появиться при чрезмерном употреблении алкогольных напитков и при передозировке лекарственными препаратами.
Если своевременно не начать лечение данной патологии, больной может ослепнуть.
Полезное видео

Источник

В случае, когда болевые ощущения ничто не снимает, следует обратиться к врачу.
Причины возникновения боли
Мигрени
Эта болезнь носит наследственный характер, обычно проявляется у женского пола, реже бывает у мужчин. От неё нельзя вылечиться, но временно приглушить симптомы — возможно. Может провоцироваться нехваткой сна, проблемами с гормональным фоном, неправильным питанием, сосудистыми патологиями.
Клиническая картина
Болевые ощущения локализуются в одной части головы, они словно пульсируют. Характер боли — сильный. Пациента подташнивает, возможна рвота, светобоязнь, непереносимость звуков.
Задайте свой вопрос врачу-неврологу бесплатно
Ирина Мартынова. Закончила Воронежский государственный медицинский университет им. Н.Н. Бурденко. Клинический ординатор и невролог БУЗ ВО «Московская поликлиника».Задать вопрос>>
Длится такой приступ от 2-3 часов до суток.
Вмешательство врача
Лечение назначает терапевт.
Диагностика
Диагностировать мигрень у пациента врач сможет на основании симптомов, описанных больным при беседе.
Лечение
Пациентам следует поменять рацион. Из меню полностью исключаются алкогольные напитки, апельсины и другие цитрусовые.
Нельзя есть копчёные блюда и шоколад, а также продукты, имеющие в составе глутамат натрия.
Провоцирует головные боли и употребление яиц и творога. Блюда из этих продуктов рекомендуется употреблять как можно меньше.
Пациенту следует отказаться от кофе. Максимальное количество кофе, которое может выпивать пациент, ограничивается одной кружкой в день.
Мнение эксперта
Приходько Аркадий Аркадьевич
Врач-ревматолог — городская поликлиника, Москва.
Образование: ФГБНУ НИИР им.В.А.Насоновой, Астраханская государственная медицинская академия.
Лечение медикаментами (триптанами), направленными на устранение мигрени, прописывает только врач.
Кластерные боли

Но при этом болезнь практически не встречается у детей.
Клиническая картина
Характер боли — острый. Голову может жечь и печь. Обычно болевые ощущения локализуются в зоне надбровных дуг, сопровождаются резью в глазах, могут иррадиировать в ушную раковину, висок, челюсть.
Может начаться нервная дрожь глазного яблока, пациент сильно потеет во время болевого приступа. Его кожные покровы бледнеют, человека тошнит, закладывает нос.
Чем сильнее болит голова, тем сильнее слезятся и краснеют глазные яблоки. Пациент постоянно раздражается от боли, ухудшается качество жизни. Иногда у людей, страдающих этим заболеванием, даже бывают суицидальные наклонности.
Боль может быть кратковременной, по 10-15 минут два и больше раз в сутки, а потом может не беспокоить человека почти год. Причин такой периодичности проявления кластерной боли врачи не знают, поэтому лечение направлено на удлинение срока ремиссии.
Вмешательство врача
Рекомендуется консультация невропатолога.
Диагностика
Первопричинами возникновения патологии могут быть многие факторы — от травм челюсти и черепа до повышенного артериального давления.
Мнение эксперта
Филимошин Олег Александрович
Врач-невролог, городская поликлиника г. Оренбурга.
Образование: Оренбургская государственная медицинская академия, Оренбург.
Пациенту следует рассказать врачу все симптомы, чтобы врач смог точно определить причину возникновения боли и назначить лечение.
Для диагностики используют МРТ, ангиограмму сосудов, рентген шейного отдела позвоночника.
Лечение
Лечение заболевания является комплексным и включает в себя:
- Прием медикаментов (триптаны, спреи и капли в нос на основе дигидроэрготамина, обезболивающие, стероидные блокаторы и гормональные препараты, транквилизаторы).
- Кислородные ингаляции.
- Применение охлаждающих компрессов со льдом.
- Иглоукалывание.
Вирусный артериит
Это редкая патология сосудов с поражением сонной артерии. Обычно проявляется в форме височного артериита. При болезни нарушается кровоснабжение мозга из-за сужения аорты.
При развитии заболевания возможно перекрывание кровотока к голове.
Клиническая картина
Головные боли носят пульсирующий характер, часто иррадиируют в челюсть. Пациент чувствует постоянную усталость, его лихорадит, отмечается снижение веса, болят мышцы.
Возникает кислородное голодание тканей из-за сужения артерий. Следствием может стать слепота, инсульт. При воспалении сосудов часто болят руки.
Вмешательство врача
Лечением занимаются хирурги и флебологи.
Диагностика
Диагностирование заболевания происходит с помощью анализа крови, биопсии артерий.
Лечение
Направление лечения: устранение воспалительного процесса в артериях.
- Лечат патологию с помощью Кортизона (орально или с помощью инъекций). Такая терапия имеет множество побочных эффектов — например, сильное потоотделение, появление синяков, отёчность, прибавка в весе.
- Аспирин. Разжижает кровь, не даёт ей сворачиваться в артерии, снижает риск возникновения инсульта и слепоты.
- Часто проводимая терапия провоцирует остеопороз. Поэтому больному необходимо принимать кальций и витамины. Для женщин необходимо дополнительное лечение Актонелем, прием эстрогенов и т. д.
Опухоли мозга

Злокачественные опухоли характеризуются быстрым прорастанием в другие ткани с их последующей трансформацией. При этом метастазы могут наблюдаться сразу в нескольких участках мозга.
Такие опухоли плохо лечатся, а на поздних стадиях их развития спасти человека практически невозможно.
Клиническая картина
Характер болевых ощущений — постоянный, по мере развития заболевания продолжительность приступов увеличивается. Когда человек двигается, болевые ощущения усиливаются. Сначала они локализуются в области опухоли, потом, по мере увеличения внутричерепного давления, переходят в лобную и затылочную часть. Наиболее сильный дискомфорт наблюдается в ночное и утреннее время из-за скопления жидкости. Вены не справляются с оттоком крови, поэтому к болям прибавляются отёчность и застои. Боли давящие, распирающие, пульсирующие.
К головным болям затем добавляется рвота. При физической нагрузке или кашле болевые ощущения усиливаются, появляется двоение в глазах, временами исчезает зрение. Голова кружится, у пациента нарушается координация движений. Могут неметь конечности, ослабляется тонус мышц.
Иногда бывают эпилептические припадки, путается сознание.
Вмешательство врача
Необходима помощь терапевта, нейрохирурга, онколога, онколога-радиолога.
Диагностирование
Для диагностики используется МРТ мозга, ПЭТ, КТ мозга, ангиография и другие методы.
Лечение
- Для облегчения боли на ранних стадиях заболевания врачи рекомендуют мочегонные препараты и кортикостероиды, с помощью которых удаётся добиться частичного снятия отёка и нормализации кровоснабжения на поражённом участке.
- Удаление опухоли с помощью лазера, эндоскопии и ультразвука.
- Иссечение опухоли. Метод травматичен. Способы иссечения: трепанация черепа или удаление костных фрагментов.
Отравление

Клиническая картина
Характер боли — интенсивная и ноющая. Кроме того, пациент чувствует недомогание, слабость, сонливость.
Его может тошнить, рвать.
Вмешательство врача
Нужна помощь терапевта, который потом направляет пациента к инфекционисту, гастроэнтерологу. При тяжёлых формах отравления пациенту оказывается скорая неотложная помощь токсикологами и реаниматологами.
Диагностика
Диагностируют заболевание с помощью беседы с пациентом, анализов мочи и крови. Анализ помогает определить вещество, вызвавшее отравление, что способствует правильной постановке диагноза.
Лечение
- Больному требуется экстренное промывание желудка, чтобы токсины вышли из организма. Пока они будут присутствовать, лечение таблетками, купирующими боль, ничего не даст.
- Приём абсорбирующих средств. Оптимальный вариант — активированный уголь, который восстановит деятельность ЖКТ и выведет токсины из организма.
- Слабительные. Наряду с промыванием желудка, они помогут максимально быстро вывести из организма токсичные вещества.
- При отравлении алкоголем поможет Антипохмелин.
- Если человек без сознания, ему ставят капельницу с медикаментами, которые купируют действие токсинов и оперативно выводят их из организма.
К какому врачу обращаться?
Первоначально пациенту следует прийти на приём к терапевту, который после беседы и проведения несложных анализов диагностирует заболевание и направит к нужному специалисту.
В зависимости от первопричины головных болей, лечить пациента будет невропатолог, нейрохирург, флеболог, хирург, гастроэнтеролог и т. д.
В каком случае нужно немедленно к врачу?
- Внезапные боли с появлением тошноты и рвоты. Если у пациента кружится голова, то тоже необходимо проконсультироваться с врачом.
- Срочно обращаются к врачу, когда, кроме боли, немеет тело или конечности, двоится в глазах, нарушается координация движений, возникают проблемы со зрением, повышена температура.
- Если сначала болевые ощущения появляются редко и длятся недолго, а со временем учащаются или резко усиливаются.
- Если боль ощущается в одном месте головы или отдаёт в затылок.
- Если пациент старше 50 лет.
Чем еще можно облегчить состояние?
Если выявлено, что причиной боли стало переутомление, стресс, то рекомендуется:
- Активно отдыхать.
- Больше спать.
- Чаще проветривать помещение.
- Не находиться долгое время в статичных позах.
- Массировать голову.
- Проводить ЛФК.

Не нужно после работы запирать себя дома, постарайтесь больше гулять на свежем воздухе и давать телу физическую нагрузку. Важно совершать прогулки в парке, а не около загазованных дорог. Можно использовать для расслабления организма велопрогулки и плавание.
Полноценный сон
Часто боли возникают, когда человек не даёт себе отдыхать и высыпаться. Полноценный сон должен длиться не менее 7-8 часов в сутки. Хорошим подспорьем станет подушка, наполненная гречневой шелухой.
Перед сном рекомендуется проветривать помещение.

Массировать голову можно в домашних условиях самостоятельно, не беспокоя домочадцев. Ставим два пальца в ямочки за затылком и аккуратно, не надавливая, массируем пару минут. Если болевые ощущения сильные, то ставим пальцы на виски и активными движениями выполняем массаж висков. При хондрозах шейного отдела следует выполнять массаж шейно-воротниковой зоны.
Применение эфирных масел
Для ликвидации острой боли и снижения тревожности следует втирать в области висков 2-3 капли мятного масла в течение 60 секунд.
Расслабляем глаза
Современный человек много времени проводит за компьютером. Если день тяжёлый и глаза постоянно напряжены, то нередко возникает головная боль. Отрегулируйте частоту мерцания монитора, его яркость. Время от времени давайте глазам отдыхать, чаще моргайте, закрывайте глаза на пару минут.
ЛФК при головной боли
- Сидя на стуле, полностью расслабляем шею и даём голове наклониться к груди под своей тяжестью. Держим голову в таком положении 20 секунд, потом возвращаемся в исходное положение. Повторяем от 10 до 15 раз.
- Встаём, складываем руки в замок. Прижимаем большие пальцы к дугам скул, остальные пальцы охватывают затылок. Взгляд направлен вверх. После этого откидываем голову назад, преодолевая сопротивления пальцев. Держим запрокинутую голову 10 секунд, после чего максимально наклоняем голову к груди, при этом голова расслаблена. Упражнение повторяется 5 раз.
Точечный массаж
- Пальцами нащупываем те точки, в которых локализуется боль в области затылка. Аккуратно массируем эти точки по часовой стрелке 15 раз, потом зажимаем их на 1-2 минуты.
- Переходим на основание носа, давим на точку в месте, где закачивается переносица и начинаются брови. Давим на неё 1-2 минуты.
- Массируем точку между указательным и большим пальцем 1-2 минуты.
Из этого можно сделать вывод, что головную боль можно преодолеть, но не стоит злоупотреблять обезболивающими препаратами, не зная причины возникновения дискомфорта.
Дополнительно очень полезным будет ознакомиться со следующим видео
Медикаменты легко маскируют симптоматику болезни, и пациент теряет время, которое можно потратить на лечение. Ряд причин, вызывающих боль, обширен. Если дискомфорт не проходит или возникает периодически, то пациенту необходимо посещение врача.
Источник



